РАБОТАЕМ ДО 21:00 ЕЖЕДНЕВНО
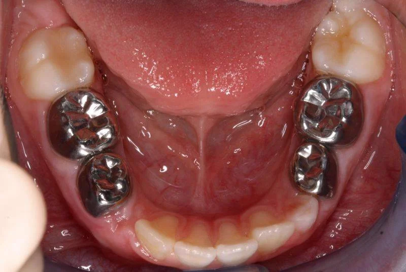
Коронки для детей
Что делать, если зуб сильно разрушился ?
Существуют ситуации, требующие протезирования зубов у детей. Зубы могут быть настолько разрушены кариесом, что они не подлежат восстановлению и их надо удалять. Причиной сильного разрушения зуба ребенка может быть травма, когда происходит полный или частичный отлом коронки, перелом корня зуба. Некоторые формы флюороза также являются причиной разрушения зубов , поскольку зуб , перенасыщенный фтором, становится хрупким и постепенно разрушается. Зубы (особенно молочные) подлежат немедленному удалению при распространении воспаления на надкостницу (периоститы). Воспалительные процессы в периодонте (периодонтиты) могут вызвать сильное расшатывание зубов, вплоть до их выпадения. Все это относится как к постоянным, так и к молочным зубам . Детские врачи владеют всеми ортодонтическими приемами и установят вашему ребенку защитные колпачки и коронки

В нашей клинике при лечении детей применяются стандартные стальные коронки фирмы 3М.
Коронка, зафиксированная на зубе выполняет следующие функции:
- Восстанавливает форму и жевательную эффективность зуба.
- Предотвращает перелом стенок зуба.
- Герметично закрывает дефект тканей зуба.
- Материал, на который фиксируется коронка укрепляет твердые ткани зуба, выделяя соединения фтора.
Мы применяем коронки при восстановлении сильно разрушенных молочных и молодых постоянных зубов, при лечении пульпитов молочных зубов, при восстановлении зубов при травматических повреждениях.
Коронка - это самый надежный способ восстановить сильно разрушенный молочный зубик и сохранить его до естественной (физиологической) смены. Используя этот метод лечения, мы избегаем повторных приемов для лечения одних и тех же зубов, экономим время и бюджет наших пациентов.








